
The problem
The planet’s current changes in human and domestic animal population size, urbanization, global connectivity, climate, wildlife trade, ecosystem health and land use, guarantee that humanity will face new, previously unrecognized animal viruses that can infect humans (zoonotic viruses) in the next decades. Among zoonotic viruses, coronaviruses pose a high risk to global health due to their abundance and diversity in wildlife and proven ability to adapt to infect and spread between humans.
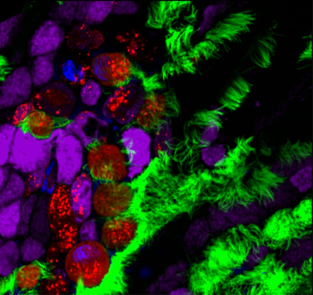
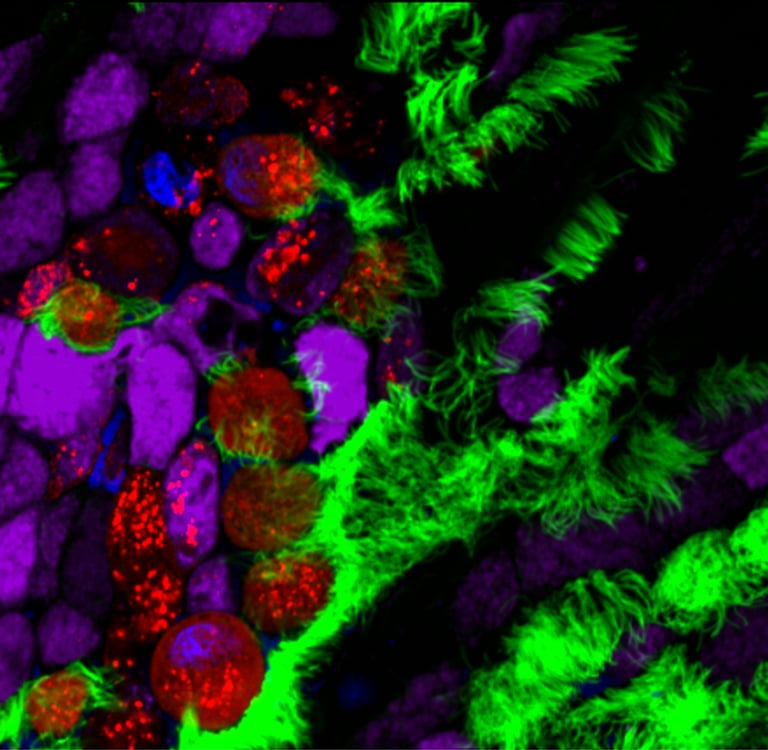
Organoids are three-dimensional (3D) structures grown in vitro from stem cells that develop into organ‑specific cell types and self‑organise according to intrinsic developmental programs. As a result, they form tissues that closely mimic the architecture and function of their organs of origin. Because these tissues can be derived from human progenitor cells and maintained long‑term in culture, they have opened powerful new avenues for experimental biology, especially when combined with modern gene‑editing technologies. In recent years, human organoids have been used to study a wide range of viruses and have transformed our understanding of SARS‑CoV‑2 biology in particular. They now provide a robust platform to investigate newly emerging viruses and to probe how these pathogens interact with human tissues at the cellular level. We use organoids to study coronavirus biology with high precision.
Coronaviruses are widespread in both wild and domestic animals, and some of these animal viruses can infect humans and even trigger global pandemics, as seen with COVID‑19. However, we still do not know which animal coronaviruses pose a genuine threat to human health and which do not. Our research aims to identify animal coronaviruses that can infect humans and to uncover the mechanisms that allow them to adapt to new tissues and hosts. Our goal is to generate insights that help reduce the impact of future coronavirus pandemics.
Our solution
Our goal


Our funders




















